The healthcare industry is quick to adopt technologies that show promise to improve patient care. The fourth industrial revolution has brought massive development within the space, turning hospitals into data-rich facilities looking for innovative and secure technical solutions. While computer vision technology has long held promise in healthcare, recent advancements in the space have significantly reduced deployment times and increased the accuracy of vision systems.
Some real-world examples of how computer vision can be implemented in hospital settings will be explored below, but first we will look at some key metrics that define the healthcare industry:
- As of 2022, the healthcare industry employed over 14.7 million people in the U.S.
- Hospitals saw over 33 million patients in the U.S. in 2022.
- Over 1.5 billion surgeries were performed in 2022, both inpatient and outpatient.
Computer Vision in Healthcare
The healthcare industry is one of the biggest forces in the United States economy when considering both its GDP and employment statistics. While the industry continues to have a great impact, it still faces significant challenges:
- Hospitals and medical facilities are seeing increased pressure from Insurance companies to find ways to cut costs, or risk being bypassed for third-party solutions.
- Hospital expenditures grew by 2.2% in 2022, rising to $1.355 trillion.
- Labor shortages contributed to a contract labor expense growth of 258% between 2019 and 2022.
- The annual cost of wasteful spending in the healthcare industry is between $760 billion and $935 billion.
Despite these ever changing challenges faced by healthcare facilities, new technologies, like computer vision, have the potential to improve the quality of patient care and reduce operational expenses. The market size for vision systems in the healthcare industry was $1.31 billion in 2022, and expected to grow at an annual rate of 35.2% through 2030. This post will highlight use cases for how computer vision models can be deployed in the healthcare industry.
What Makes a Healthcare Problem Solvable with Computer Vision?
Problems that are solvable in healthcare and medicine share similar characteristics:
- The solution involves automatically transforming images or video into actionable information.
- The solution operates probabilistically. Computer vision models are trained to make predictions that are estimates in nature - this means that problems that can be handled with some error rate tend to be a good fit.
- The image or video input has limited variation. Problems that have a greater variation in scene are generally harder for a computer to learn how to solve.
Of course, the challenges of every problem in computer vision will be unique, but they will likely fall into one of these three categories.
Computer Vision Use Cases in Healthcare
Computer vision technology continues to expand its use cases in healthcare and medicine. Here are some of the most exciting example use cases for vision in healthcare and medicine.
1. QA Medical Equipment and Devices
Computer vision is useful to assure quality assurance. Medical devices and equipment need to be manufactured within specifications and manual monitoring their quality can be tedious and expensive.
Before administering a treatment via syringe, we may a computer to automatically detect whether the quantity of liquid is within an acceptable error range. We may also want an algorithm to detect whether all pieces of the syringe are intact and accounted for.

The quality assurance process naturally lends itself to computer vision because pieces of equipment are manufactured in similar fashion, reducing the variability that your computer vision model will need to learn.
2. Pill Counting and Identification
Computer vision can be used to detect, identify, and count pills. Pills are small, and can often be difficult to identify as a result. Counting individual pills can be both tiresome and tedious, placing strain on already thin-stretched healthcare employees. The consequences of misidentification, and therefore misadministration, of medicines can be catastrophic.

Some reports estimate that hospitals throw out $3 billion worth of medications annually. Computer vision can be implemented to ensure that the right medications find the right sets of hands, eliminating waste and improving hospitals bottom line. To build your own vision powered pill inspection and counting system, follow our step-by-step pill inspection tutorial.
3. Using Computer Vision to Triage and Diagnose Ailments
X-Ray - Computer vision for reading MRI and X-Rays has become a token example of computer vision in healthcare. Machine learning technology now enables doctors to screen and reason about these medical images more effectively because the computer can pick up on patterns that a human may not.

Dental - Computer vision can also be used to augment triage and diagnosis in dental care. Models are trained to recognize malformations in teeth and gum tissue and automatically make screening recommendation.
Skin - Images of a patient's skin are automatically scanned with computer vision technology to screen for ailments such as skin cancer.
4. Automated Medical Inventory Management
Hospitals handle large volumes of high value goods, ranging from medical implants to surgical tools, like scalpels. Ensuring traceability throughout the supply chain is critical when handling devices that are crucial for patient care.
Inventory management systems equipped with vision technology offer hospitals precise and efficient tracking capabilities for essential items. Through leveraging computer vision algorithms, these systems can accurately identify and catalog inventory in real-time, streamlining the supply chain and minimizing the risk of stockouts or overstocking.

Additionally, vision systems can automate inventory replenishment tasks, triggering alerts when stock levels fall below predetermined thresholds, thereby ensuring seamless supply chain operations and minimizing disruptions in patient care.
5. Sterile Processing of Healthcare Tools
Sterile processing is another process that depends on traceability to ensure that hospitals run smoothly. Sterile processing that is not carried out effectively can be negative for patient care and costly for hospital systems. Between cleaning and decontamination, packaging, sterilization, and distribution, computer vision can be deployed to streamline this process.

During sterile processing, equipment is typically both manually and automatically cleaned for sterilization. Computer vision solutions can visually track tools and equipment throughout this process so that stakeholders can see where each piece of equipment is located, in real time. This can be useful in determining where further quality control steps may need to be implemented, along with eliminating bottlenecks in the sterilization process.
Similarly, individual equipment parts can quickly be inspected through a computer vision system to ensure that no biological material or surgical residue remains on the equipment at any stage of the process. Vision systems inspect these parts and components with higher precision than humans conducting quality assurance, while completing the tasks significantly faster. Higher precision and reduced time improves operational efficiency within the sterile processing department while reducing the probability of surgical site infections due to residual biological material.
6. Personal Protective Equipment Monitoring
Hospital systems have become increasingly concerned with ensuring that both hospital employees and patients are wearing proper personal protective equipment (PPE). This can often be a burdensome task for medical facilities, requiring dedicated employees to walk around and manually inspect people.
Computer vision systems provide automated oversight of these processes while protecting the identities of patients and hospital personnel. Computer vision models can be deployed to first detect the presence of proper PPE use on individuals within a hospital setting, like the waiting area of an emergency room, and then blur the faces of individuals in the frame to ensure that privacy is maintained. These analytics can be used by operations specialists to better allocate resources and ensure that proper PPE use is being observed.
Another area where computer vision can be utilized within hospital systems is the staging area of operating rooms. When handling blood and bodily fluid, it is key that all team members are wearing the correct level of PPE for the current surgery. Computer vision models can be used as a final check to make sure that surgeons, nurses, vendors, and support staff are properly protected pre-op.
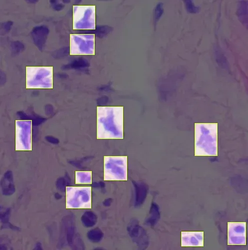
7. AI-Assisted Cancer Screening
Some estimates suggest that 10-20% of all cancer cases are misdiagnosed, resulting in 40,000 deaths per year. This speaks to the complexity of cancer imaging, and the fact that every cancer screen is unique. Computer vision plays a crucial role in cancer screening by aiding doctors in making correct diagnoses.

A well-trained computer vision model has the ability to detect cancerous cells that may have gone undetected by medical professionals. When a computer vision model is deployed in this way as a second check after an initial diagnosis from a doctor, it can encourage doctors to take a second look at an image when a model finds potentially cancerous cells. Recent developments in the computer vision field have enabled medical professionals to actively train their cancer screening models so that they get better over time, a process known as active learning.

Roboflow provides a platform for researchers to annotate images, train models, deploy them to a number of platforms and edge devices, and continuously improve them through active learning. This cycle allows cancer detection models to get better, and drastically improve performance.
Use Computer Vision in Your Healthcare System
The possibilities for introducing computer vision into your healthcare system are endless. Pill identification and counting models can reduce strain on healthcare workers, and give hospital administrators confidence that the right types and quantities of medicines are being administered. Inventory management models can keep the hospital supply chain operating at a significantly more efficient level.
However you plan on implementing computer vision within your hospital system, it will provide value in terms of increased quality of patient care and reductions of operating costs. Get in touch with an AI expert to learn more.
Cite this Post
Use the following entry to cite this post in your research:
Hunter Diminick. (Feb 9, 2024). Use Cases for Computer Vision in Healthcare. Roboflow Blog: https://blog.roboflow.com/computer-vision-in-healthcare-use-cases/